Ultrazvučni pregled abdomena pruža detaljan uvid u veličinu i strukturu parenhimatoznih organa: jetre, slezine, pankreasa, žučnog sistema (žučne kese i žučnih puteva), bubrega, nadbubrežnih žlijezda.

Ovom metodom se može vizualizirati trbušni dio aorte, mokraćna bešika i prostata kod muškarca.

Ultrazvuk abdomena se preporučuje u sljedećim slučajevima:

  • kod boli u stomaku i/ili leđima
  • kod uporne mučnine i povraćanja
  • kod naglog uvećanja trbuha
  • kod povreda u predjelu trbuha
  • kod nejasnih febrilnih stanja

 

Stanja u kojima se obavezno savetuje ultrazvučni pregled stomaka su: bol u stomaku i/ili leđima; mučnina i povraćanje; nadutost; neobjašnjivo mršavljenje; naglo uvećanje trbuha; povrede u predjelu trbuha kao i nejasna febrilna stanja. Veoma često kamenje u žučnoj kesi ili zapaljenje žučne kese može dati simptomatologiju oboljenja gornjeg digetsivnog trakta tako da je u velikom broju slučajeva neophodno prije detaljne dijagnostičke evaluacije jednjaka I želuca načiniti ultrazvuk trbuha.

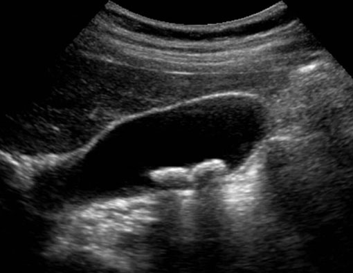
EHO-SONOGRAFIJA KALKULOZE ŽUČNE KESE
EHO-SONOGRAFIJA KALKULOZE ŽUČNE KESE SA HOLECISTITISOM

Kako se pripremiti za ultrazvuk abdomena?

  • Priprema za ultrazvuk abdomena sastoji se u neunošenju hrane minimum 6-8 sati, a najbolje 12 sati prije pregleda.
  • Dva do tri dana prije ultrazvuka, poželjno je ne uzimati hranu koja stvara gasove, izbjegavati hranu sa mnogo ostataka, bogatu biljnim vlaknima kojih najviše ima u žitaricama, voću i povrću.
  • Za pregled mokraćne bešike i prostate kod muškarca potrebno je napuniti bešiku (popiti oko 3-4 čaše tečnosti 1,5 sat prije pregleda i ne mokriti).
  • U hitnim slučajevima ultrazvuk abdomena se radi bez navedene pripreme.

Vrlo je bitno da pacijent tokom pregleda sarađuje sa ljekarom, odnosno da zauzme traženi položaj ili zadrži dah kad se to od njega zatraži.

Zahvaljujući jednostavnosti i neškodljivosti izvođenja pregleda, ultrazvuk predstavlja pouzdanu i efikasnu metodu u otkrivanju i praćenju različitih oboljenja abdominalnih organa kao što su: urođene anomalije, zapaljenske promjene – akutne i hronične, ciste, benigni i maligni tumori, ciroza jetre, kalkuloza (kamenci) žučne kese i bubrega, prisustvo slobodne tečnosti u trbušnoj duplji, aneurizme (proširenja) i aterosklerotični plakovi (naslage) na velikim krvnim sudovima, povrede.

Leave a comment